Porcelain Veneers in Markham

Book your teeth veneer consultation today and discover what your new smile could look like.

What Are Porcelain Veneers?

3D illustration of porcelain veneers bonded to front teeth, showing how veneer teeth improve colour, shape, and smile symmetry in Markham.

Porcelain veneers are ultra-thin, custom-crafted ceramic shells bonded to the front surface of your teeth. They are designed to improve:

  • Colour
  • Shape
  • Size
  • Alignment
  • Overall smile symmetry

Unlike whitening or bonding, porcelain veneers provide a long-lasting cosmetic transformation that resists staining and maintains a natural enamel-like appearance.

Patients searching for veneer teeth solutions typically want dramatic yet natural results — and porcelain offers both durability and aesthetics.

What Issues Can Porcelain Veneers Address?

Porcelain veneers can effectively address a number of dental concerns. Consider them for:

  • Chipped Teeth: Porcelain veneers can address multiple chipped teeth.
  • Uneven Teeth: They can correct the appearance of uneven teeth.
  • Stain Removal: Stubborn stains that resist regular teeth cleaning methods can be eliminated with veneers.
  • Gaps Between Teeth: Veneers can close gaps between teeth, making them less noticeable.
  • Small Teeth: They can make smaller-than-average teeth appear more proportionate.
  • Pointed or Sharp Teeth: Veneers can smooth out pointed or unusually shaped teeth.

What Issues Can Porcelain Veneers Address?

veneer on tooth

Porcelain veneers can effectively address a number of dental concerns. Consider them for:

  • Chipped Teeth: Porcelain veneers provide a solution for multiple chipped teeth.
  • Uneven Teeth: They can correct the appearance of uneven teeth.
  • Stain Removal: Stubborn stains that resist regular teeth cleaning methods can be eliminated with veneers.
  • Gaps Between Teeth: Veneers can close gaps between teeth, making them less noticeable.
  • Small Teeth: They can make smaller-than-average teeth appear more proportionate.
  • Pointed or Sharp Teeth: Veneers can smooth out pointed or unusually shaped teeth.
Get your consultation virtually! Just contact us!
BOOK a VIRTUAL Consultation TODAY!
notebook

Benefits of Porcelain Veneers

porcelain teeth veneers
  • Natural Appearance: Porcelain veneers lend a natural look but with a unique shine for a flawless appearance.
  • Stain Resistance: Porcelain veneers create a crack-free tooth surface that resists staining.
  • Long-Lasting: You can enjoy a confident smile that brings compliments for 10 to 15 years with porcelain veneers. All you need to do is maintain good oral hygiene and follow your dentist's advice.
  • Maximum Natural Tooth Preservation: To prepare your teeth for porcelain veneers, your dentist removes only a small amount of tooth enamel. As a result, most of your natural tooth structure is preserved.

Teeth Veneer Consultation – What to Expect

Dentist selecting porcelain veneer shade during veneer consultation in Markham dental clinic.

Your veneer consultation in Markham includes:

1
Comprehensive dental exam
2
Smile assessment and goal discussion
3
Evaluation of bite and alignment
4
Digital imaging and treatment planning
5
Transparent cost estimate

We take time to understand what you want to improve — whether it’s subtle refinement or a complete smile makeover.

During your teeth veneer consultation, we will also discuss alternatives such as whitening, bonding, or orthodontics if they are more appropriate.

How Much Do Veneers Cost in Markham?

Custom lab-fabricated porcelain veneers are prepared for bonding during cosmetic dentistry treatment in Markham.

The cost of porcelain veneers can vary based on a few important factors, including how many teeth you’re treating, the complexity of your case, and whether additional preparatory treatments (like gum reshaping or bite correction) are needed. Custom lab-fabricated high-quality veneers also influence the overall investment.

At Markham Smile Centre, we understand that cosmetic dentistry is an important decision — and one that should be financially manageable. That’s why we offer flexible financing through our trusted partner, Beautifi, to help you spread the cost of veneers over time rather than paying in one lump sum. With this option:

  • You can choose monthly payment plans tailored to your budget with low, predictable payments.
  • Applying takes only a few minutes and won’t affect your credit score.
  • Financing is available for cosmetic procedures such as veneers and other treatments, making comprehensive smile enhancement more accessible.

During your consultation, we’ll provide a personalized cost estimate and review your insurance coverage and financing options in detail, so you have a clear understanding of your payment choices and can confidently move forward with a treatment plan that fits your goals and lifestyle.

Our Porcelain Veneers Process

1

Initial Veneer Consultation

  • Your dentist will conduct a thorough oral health examination to assess your suitability for porcelain veneers.
  • Veneer treatment will be planned.
2

Preparation

  • Your dentist will gently remove a small amount of enamel to prepare the tooth surface for the veneers.
  • 3D digital imaging of your teeth will be taken and sent to a dental lab to make your custom dental veneers.
3

Custom Veneers Creation

  • Skilled professionals at the dental lab will create your veneers to precise specifications.
  • Once your veneers are ready, your dentist will carefully bond them to your teeth using dental cement. This ensures a secure veneer teeth fit and a beautifully enhanced smile as you leave our office.
Get your consultation virtually! Just contact us!
BOOK a VIRTUAL Consultation TODAY!
notebook

Why Choose Markham Smile Centre?

Experienced Team

We are a team of qualified dental professionals who prioritize your comfort and satisfaction from the moment you walk in. We ensure you receive exceptional care throughout your visit.

Advanced Technology

Benefit from the latest advancements in dental technology during every veneer appointment. Our team is adept at utilizing state-of-the-art equipment and techniques to enhance your dental experience.

Toxicity-Free Dentistry

Your oral health is our priority. We use only the highest-quality, non-toxic materials for our veneer procedures, ensuring optimal safety and results.

Comfortable Environment

Enjoy a relaxed and welcoming atmosphere at Markham Smile Centre. Our clinic is designed to help you feel relaxed, complemented by our friendly staff who are dedicated to easing any dental anxieties you may have.

Interested in achieving a natural-looking fix for your teeth with veneers?

Looking for a natural-looking fix for your teeth? Trust Markham Smile Centre to deliver exceptional results. Contact us today and take the first step towards a smile that leaves a lasting impression!


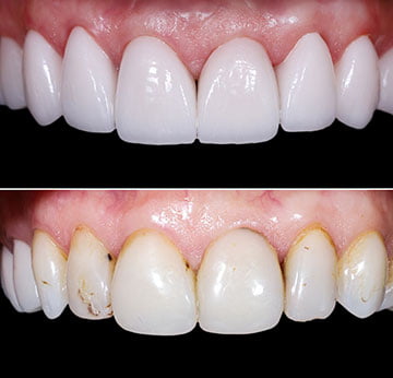
Our Work

Porcelain Veneers Before and After

Porcelain Veneers in Markham –
Frequently Asked Questions

How much do porcelain veneers cost in Markham per tooth?

The cost of porcelain veneers in Markham varies depending on:

Most patients invest in 2–8 veneers for visible front teeth rather than a full mouth.

  • The number of teeth treated
  • Case complexity
  • Custom lab fabrication
  • Whether bite correction or additional cosmetic planning is required

During your veneer consultation, we provide a clear, written treatment estimate and explain what is included: preparation, lab fabrication, bonding, and follow-up.

Do dentists shave your teeth for porcelain veneers?

Yes — but only minimally.

To ensure a natural appearance and proper fit, a thin layer of enamel is carefully reshaped (typically less than 1 mm). This allows the veneers to sit flush with your natural teeth rather than appearing bulky.

A professional teeth veneer consultation determines how much preparation is necessary. In some cases, minimal-prep veneers may be possible.

Can porcelain veneers fix crooked teeth without braces?

Porcelain veneers can correct mild to moderate misalignment by reshaping and visually straightening teeth.

However, veneers do not physically move teeth — they improve the cosmetic appearance.

If significant bite correction is needed, Invisalign or orthodontics may be recommended before veneers.

During your veneer consultation in Markham, we assess whether veneers alone will achieve your desired result.

How long do porcelain veneers last realistically?

With proper care, porcelain veneers typically last 10–15 years or longer.

Longevity depends on:

  • Oral hygiene
  • Avoiding teeth grinding
  • Wearing a night guard if recommended
  • Regular dental checkups

Veneers are durable, but they are not indestructible. Proper maintenance significantly extends their lifespan.

Are porcelain veneers painful?

The veneer procedure is generally well tolerated.

Preparation is performed with local anesthesia to ensure comfort. After bonding, some patients may experience mild sensitivity for a few days, which usually resolves quickly.

Most patients describe the process as easier than expected.

Will my veneers look bulky or unnatural?

Properly designed porcelain veneers are shaped and layered to match the translucency of natural enamel.

The key factors that determine a natural look include:

  • Smile design planning
  • Tooth proportions
  • Shade selection
  • Gum symmetry

An experienced cosmetic dental team focuses on harmony with your facial features — not overly white or oversized teeth.

What happens if I regret getting veneers?

Because enamel is permanently reshaped, veneers are considered irreversible.

This is why a detailed veneer consultation is critical. We carefully plan the shade, shape, and proportions of the smile before proceeding.

Some patients request temporary mock-ups or previews before final bonding to ensure satisfaction.

Can veneers stain or change colour over time?

Porcelain veneers are highly stain-resistant.

Unlike natural enamel or composite bonding, ceramic veneers do not easily absorb stains from coffee, wine, or tea.

However, surrounding natural teeth can still stain, which may require whitening for colour consistency over time.

Are porcelain veneers better than composite veneers?

Porcelain veneers offer:

  • Longer lifespan
  • Better stain resistance
  • More natural translucency
  • Greater durability

Composite veneers may be less expensive initially, but they typically require more maintenance and replacement over time.

Your veneer consultation will help determine the best option for your goals and budget.

How many veneers do I actually need for a balanced smile?

The number of veneers depends on:

  • Your smile width
  • Tooth visibility when speaking and smiling
  • Existing symmetry
  • Colour match

Many cosmetic cases involve 4–8 upper front teeth for a balanced aesthetic result.

We design veneers based on facial proportions — not just individual teeth.

Can I eat normally with porcelain veneers?

Yes. Once bonded, porcelain veneers function like natural teeth.

However, we recommend avoiding:

  • Biting hard objects (ice, pens)
  • Using teeth as tools
  • Excessive pressure from grinding

With normal use and care, veneers are strong and functional.

Why choose porcelain veneers in Markham instead of travelling abroad for cheaper treatment?

Cosmetic dentistry requires precise planning, customization, and follow-up care.

Choosing a local porcelain veneers provider in Markham ensures:

  • In-person consultation
  • Proper diagnosis
  • Ongoing monitoring
  • Easy access if adjustments are needed

Smile design is not one-size-fits-all. Local expertise improves long-term results and safety.

We are proud of our reputation

See what our patients are saying:

RK

Everyone here is very friendly and provides excellent care. I received a full exam on my first visit, and everyone took time to answer my questions and ensured I felt comfortable the entire time - exactly what you want when visiting the dentist. I highly recommend Markham Smile Centre for anyone looking for great dental care.

IP

There is an ample parking space before you get into the office. The receptionists welcome us friendly with proper COVID-19 procedures in place. The staff worked with patient very patiently and professionally. My teeth cleaning was done by Ying, she explained every detail to me and I did not feel any pain or uncomfortable at all. Thanks to the best team !

BL

It's been a while since I've been to a dentist but I'm trying to get back on track with health in general. Overall it was great going to Markham Smile Centre! The receptionist (I believe she was Kim) was friendly. The hygienist, Ying, was attentive and gentle during the cleaning; x-ray tech (forgot her name, sorry!) was great too. Dr. Sara Riad explained things with good detail. Looking forward to going back!

TN

I was someone who was nervous and anxious about visiting the dentist, but the team at Markham Smile Centre has made me feel SO comfortable. Kim is so patient and helpful and Dr. Hwang and Rory are both so professional and wonderful. They thoroughly explain the procedure to make you comfortable beforehand and are very gentle. I now look forward to visiting the dentist!

IC

I found this place on a whim when I was looking for a new dentist in Markham. My hygienist ying was super nice and her cleaning was very gentle yet thorough. I saw Dr.Jason and he was very nice and informative in regards to what needs to be done and provided me with all the information I needed to make a choice. Would recommend this place to anyone looking for a new dentist, they’re accepting new patients!!

FF

I have been to many dentists in my life, Dr. Jason is easily the best dentist I have ever been too. He does everything he can to make you comfortable no matter the procedure and is a true professional, as does all the staff at Markham Smile Centre. Truly an amazing dentistry

BA

The clinic was clean and the staff was very polite. I particularly liked the fact that everything was explained to me before going in for the procedure so I knew what to expect at each step. The dental hygienist who did the cleaning for me was also very gentle and took my concerns into consideration. I will definitely recommend them.

DN

Upon arriving to the Markham Smile Centre, my son and I were greeted with a warm welcome by the receptionists. The hygienists and Dentist were very gentle and transparent with what they were doing. The hygienist that worked on my 9 year old son was patient and very friendly with him, which helped ease his nerves. Our overall experience was A+.

JW

Since I was little, I have always hated going to the dentist... Its always uncomfortable and unpleasant. These days, visiting the dentist isn’t so bad! Dr Jason, Rory, and the lovely staff at reception make the experience 100x better. I have had absolutely no issues with the gum graft and cleanings that I’ve gotten done here. Everyone is incredibly friendly and helpful, even when I’m calling in or emailing a hundred questions :). I would highly recommend Markham Smile Centre.

KL

Love this place! All the staffs are friendly and Professional and I mean all, cause I've been to most of their office, Markham , Stouffville, North York, and Maple. Dr. Ko is very professional and patient. Whenever I have questions and concerns he would always reply me . I would say this this dental office take care of you all the way. I would highly recommend everyone to come here for any dental works. =)